Table des matières
6 août 2013
1) Ce que dit le Coran sur le développement embryonnaire humain
2) Ce que dit le Coran au sujet des montagnes
3) Ce que dit le Coran sur l'origine de l'univers
4) Ce que dit le Coran sur le cerveau
5) Ce que dit le Coran sur les mers et les rivières
6) Ce que dit le Coran sur les mers profondes et les vagues internes
7) Ce que dit le Coran au sujet des nuages
Commentaires de quelques savants sur les miracles scientifiques du Coran
Les miracles scientifiques du Coran
6 août 2013
Le Coran est la parole de Dieu, qu'Il a révélée à Son prophète Mohammed
par l'intermédiaire de l'ange Gabriel. Le Saint Coran a été mémorisé par Mohammed
, qui l'a ensuite dicté à ses compagnons. Ces derniers l'ont à leur tour mémorisé, mis par écrit et révisé en compagnie du prophète Mohammed
. De plus, une fois par année, le prophète Mohammed
révisait tout le Coran avec l'ange Gabriel; la dernière année de sa vie, il l'a révisé deux fois. Depuis le moment où le Coran a été révélé jusqu'à nos jours, il y a toujours eu un très grand nombre de musulmans l'ayant mémorisé en entier, lettre par lettre. Certains d'entre eux ont même réussi à mémoriser tout le Coran avant l'âge de dix ans. Pas une seule lettre du Coran n'a été modifiée à travers les siècles.
Le Coran, qui a été révélé il y a plus de quatorze siècles, fait mention de faits qui n'ont été que récemment découverts ou prouvés par les scientifiques. Cela démontre, sans l'ombre d'un doute, que le Coran est la parole de Dieu, révélée par Lui au prophète Mohammed
, et qu'il n'a pas été écrit par Mohammed
, ni par aucun autre être humain. Cela prouve également que Mohammed
est un véritable prophète envoyé par Dieu. Il serait déraisonnable de croire qu'une personne aurait pu avoir connaissance, il y a quatorze siècles, de faits qui n'ont été découverts ou prouvés que récemment à l'aide d'équipements de pointe et de méthodes scientifiques hautement perfectionnées. En voici quelques exemples.
1) Ce que dit le Coran sur le développement embryonnaire humain
6 août 2013
Dans le Coran, Dieu parle des différents stades du développement embryonnaire humain:
Nous avons certes créé l'homme d'un extrait d'argile, puis Nous en fîmes une goutte de sperme dans un reposoir solide. Ensuite, Nous avons fait du sperme une alaqah (sangsue, chose suspendue, caillot de sang), et de la alaqah Nous avons créé une moudghah (substance mâchée)...
1
(Coran, Al-Muminune, 23:12-14)
Littéralement, le mot arabe alaqah a trois sens: (1) une sangsue, (2) une chose suspendue, et (3) un caillot de sang.
Si nous comparons une sangsue à un embryon à l'étape de la alaqah, nous découvrons des similarités entre les deux,2 comme nous pouvons le voir sur l'illustration 1. De plus, l'embryon qui est à cette étape de son développement se nourrit du sang de la mère, comme la sangsue se nourrit du sang de ceux sur qui elle se fixe3.
Illustration 1: Dessins illustrant les similarités, au niveau de l'apparence, entre une sangsue et un embryon humain au stade appelé alaqah.
(Le dessin de la sangsue est tiré de l'ouvrage Human Development as Described in the Quran and Sunnah (Le développement humain tel que décrit dans le Coran et la Sounnah), Moore et al., p. 37, adapté de Integrated Principles of Zoology (Principes généraux de zoologie), Hickman et al.. Le dessin de l'embryon est tiré de The Developing Human (L'humain en développement), Moore et Persaud, 5e édition., p. 73.)
Le deuxième sens du mot alaqah est "une chose suspendue". C'est ce que nous pouvons voir sur les illustrations 2 et 3: l'embryon en suspension dans l'utérus de la mère, au stade de la alaqah.
Illustration 2: Nous pouvons voir, sur ce diagramme, la suspension de l'embryon dans l'utérus de la mère, au stade de la alaqah. (The Developing Human [L'humain en développement], Moore et Persaud, 5e édition., p. 66.)
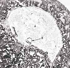
Illustration 3: Sur cette photomicrographie, nous pouvons voir la suspension d'un embryon (B) au stade de la alaqah (âgé d'environ 15 jours) dans l'utérus de la mère. La grandeur réelle de l'embryon est d'environ 0,6 mm. (The Developing Human (L'humain en développement), Moore, 3e édition., p. 66, adapté de Histology (Histologie), Leeson et Leeson.)
Notes
6 août 2013
(1) Notez que ce qui est écrit entre ces parenthèses, sur notre site n'est que la traduction du sens des versets du Coran. Ce n'est pas le Coran comme tel, qui lui est en arabe.
(2) The Developing Human [L'humain en développement], Moore et Persaud, 5e édition., p. 8.
(3) Human Development as Described in the Quran and Sunnah [Le développement humain tel que décrit dans le Coran et la Sounnah], Moore et al., p. 36.
1 2 3 4 5 6 7 8 






























